Here’s a friendly reminder before you dive into your day: think carefully before sharing your personal medical information with an AI chatbot.
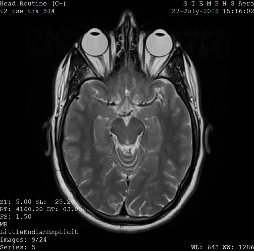
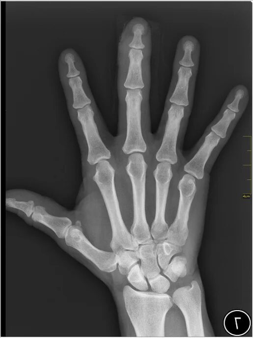
Many people are starting to use AI chatbots, like ChatGPT from OpenAI and Gemini from Google, to ask questions about their health and get advice on medical issues. Some folks even use questionable apps that claim to check if someone’s genitals are free from disease using AI. Recently, users on the social media platform X (formerly known as Twitter) have been encouraged to upload their X-rays, MRIs, and PET scans to an AI chatbot called Grok to help interpret these medical images.

It’s important to know that medical data is sensitive and is protected by federal laws in the U.S. Generally, only you can decide to share this information. Just because you have the option to upload your medical data doesn’t mean it’s a good idea. Experts in security and privacy have been warning that once you upload sensitive information, it can be used to train AI systems and might expose your private details later on.
When you share data with generative AI models, they often use that information to improve their understanding and accuracy. However, it’s not always clear how your information will be used or who will have access to it. Companies can change their policies at any time, so you have to trust them to be honest about what they do with your data.
Read Also: Promote Egypt As A Tourist Spot, Airline Tells Agents
There have been instances where people have found their own private medical records included in AI training datasets. This means that others—like healthcare providers, potential employers, or government agencies—could potentially access that information too. Additionally, many consumer apps, including those on social media, are not protected by the U.S. healthcare privacy law known as HIPAA, which means your uploaded data might not have any safeguards.

Elon Musk, the owner of X, has encouraged users to upload their medical images to Grok, admitting that the AI’s results are still in the early stages but claiming that it will improve over time. The idea is that by submitting medical images, users can help the AI become better at interpreting scans accurately. However, it’s unclear who will have access to the data collected by Grok. According to Grok’s privacy policy, X shares some user information with a number of “related” companies, but it doesn’t specify who those companies are.
Always keep in mind that once something is shared on the internet, it can be very difficult to completely erase it.




